Valgus deformity of the first foot most often affects women of mature age, but it also affects men.A deformed thumb base does not look aesthetically pleasing.In this case, the person feels physical discomfort, and in an advanced stage - pain.Big foot deviation is the result of uneven body load on the foot.Such changes have adverse effects on the feet and other fingers.
Causes of curvature

Hallux valgus does not occur for no apparent reason.This pathology appears and develops under the influence of various reasons.Hallux valgus most often affects people who are genetically predisposed to this disease.The doctor notes the following causes of deformity 1 leg:
- Excess body weight.
- Endocrine diseases.
- Osteoporosis.
- Flat feet.
- Diabetes mellitus.
- Psoriasis.
- Arthritis.
- Hormonal changes during pregnancy and old age.
- Wear tight shoes.
- The specialty of the profession, forces a person to withstand increased physical activity on his feet every day.
Rank and variety
Doctors consider 3 stages of disease development:
- Subtle Valgus deviation.Redness of the skin appears, as well as small abrasions.Discomfort while walking.
- Growth can already be clearly seen on the thumb.Swelling and pain are noted.
- This form of the disease is considered advanced.A person is bothered by the unbearable pain of the big feet and the whole leg, and the appearance of keratinized skin.The pain does not go away even during sleep.
The unpleasant development of hallux valgus is influenced by many factors.Experts have identified the following types of finger deformities as separate categories:
- Overcome disability.Curvature occurs in different directions.Fingers crossed over each other.
- The curvature of the joints to the extent that they are always in a bent position.At the first stage of the development of the pathology, the fingers can be forced to straighten with the help of the hand.If the treatment does not start at this time, the fingers will be so stiff that you cannot straighten them with your hands.Now it is impossible to do without surgery.
- Taylor's defect.Pathology affecting the little fingers.Characterized by the appearance of growths on the bones.
- The curvature of the phalanges, resembling a hook.

Experts include ballerinas at risk of developing Hallux Valgus.Dancing on your toes puts more stress on your toes, which leads to their curvature.Improper gait can also cause unwanted results.Factors that cause severe even at age.
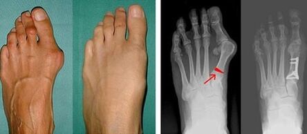
Diagnostic methods
If the visual examination and x-rays do not give any results, then the patient is referred to panography to determine possible flat feet.This method involves taking a foot print, based on shoes or insoles with orthopedic properties made for the patient.The patient is then prescribed pedometry.This method uses computer analysis to determine the pressure of a person's weight on the feet.Advanced diagnostic results are the basis for choosing a treatment method for first and second foot curvature.
The disadvantage of X-ray examination is the need to irradiate the patient's legs, which many patients do not like.They think this method is too dangerous.In this case, the effective treatment of Hallux valgus cannot be started without the results of panography.

This is the best informative diagnostic method.With its help, the doctor determines not only the presence of flat feet, but also the condition of the arch of the foot.A computerized examination is the most effective way to detect flat feet.
At the first stage of identifying valgus big toe and little toe, the doctor conducts a visual examination.In this way, it determines the level of pathological development.To identify detailed changes in the joints, x-rays and plans are prescribed.
Drug therapy
It is better to start the soft treatment of the feet, as well as the big feet, before the final stages of the development of the pathology occur.Experts know how to treat this pathology, but they do not know how to cure advanced forms of the disease without surgical intervention.First, the doctor determines the cause of finger curvature, as well as the presence of complicating factors.As is known, the task of drug therapy includes symptom therapy.This means pain, inflammation and swelling are eliminated.
Often, patients are prescribed non-steroidal anti-inflammatory drugs.In addition to their main function, they reduce pain and fever.When complications occur, hormonal corticosteroids are often prescribed.If the deformation of the finger is caused by a disease of the internal organs, then the joint can be corrected after the underlying pathology has been cured.In this case, the endocrinologist is involved in the problem together with other highly specialized specialists.Many people try to cure themselves using folk remedies, forgetting that this is only possible in the early stages of the development of the pathology.
If the pathology is observed during the initial stage, then the bent thumb is straightened with the help of a device - a plastic or silicone pad with orthopedic properties.During treatment, you should wear soft and wide shoes.To straighten bent fingers, orthopedic insoles, arch supports and other corrections are used.Deformed fingers are fixed with special splints, rings, caps, and combs.With the help of such a device, the fingers are secured in the correct position.Thanks to orthopedic hatches, the development of further deformation of the fingers stopped.
There are two ways to treat Hallux Valgus.The first is painless correction of defects that do not require surgical intervention and rehabilitation, the second is surgical treatment.
Surgical treatment methods

Complete healing of Hallux Valgus is only possible with the help of a surgeon's scalpel.Sometimes just one operation is enough and the patient forgets about the problem forever.Doctors perform surgical interventions taking into account the type of hallux valgus deformity.The most common types of operations are:
- Exostectomy.Only a certain part of the metatarsal bone is removed.
- Arthroplasty Resection.The end of the metatarsal bone is removed.
- Osteotomy.It is used to remove metatarsal bones, as well as small elements of the phalanx.
- Resection.This operation aims to remove the affected soft tissue and then transplant healthy tissue in their place.
- Arthrodesis.Provides forced joint immobility.
- Distal osteotomy.This operation involves reducing the angle between the joints.
- Removal of the big toe inflamed bursa.
- Implant installation.
The recovery period after surgery can last up to seven weeks.During these weeks, special preventive measures are usually carried out.First of all, this is a therapeutic exercise that promotes:
- improve health status;
- reduce pain when walking;
- increase leg muscle tone;
- Installation and fixation of deformed joints in the natural position.
The length of the recovery period most often depends on how complex the operation is.To speed up recovery, you should start moving your finger the next day.After a week, the patient was able to stand and, taking precautions, moved slowly.The main thing is to avoid prolonged stress.
After the operation, you need soft and wide shoes of high quality.It was bought on the recommendation of a doctor.In this way, if you start doing therapeutic exercises at the beginning of the development of Hallux Valgus, you can not only without surgical intervention, but also without wasting money on various devices, ointments and medicines.
Experts say that the option of surgical treatment gives almost one hundred percent positive results.This gentle treatment method does not require anesthesia and does not cause stress or psychological distress.However, painless treatment methods cannot save a person from the last stage of this disease.
Preventive measures

Preventive measures are quite simple - wear comfortable shoes with wide feet, the inside does not put pressure on the toes.Joints in particular and feet in general can withstand the body weight that has accumulated during human growth without causing harm.Therefore, it is very important to monitor your weight to avoid obesity.
One of the effective preventive exercises is as follows: a person, sitting on a chair with his feet on the floor, moves them using his fingers.
The next exercise involves walking barefoot on the floor, alternating on your toes and heels.
Easy gymnastics is mastered quickly, which gives rise to more complex physical exercises.You can then perform actions such as picking up a pencil or other object from the floor.
It is better to avoid deformation of the thumb than to then stand in line at a medical institution to receive a doctor's recommendation to choose an effective treatment.























